0 No hay términos de la taxonomía "paises" asociados a este post.
El carcinoma de células escamosas es una neoplasia maligna de origen epitelial que, aunque frecuente en especies domésticas como bovinos o equinos, se presenta de forma más esporádica en ovinos.
En este artículo se describe un caso clínico de carcinoma de células escamosas periocular en una oveja, detallando los hallazgos clínicos, diagnósticos y anatomopatológicos, así como las consideraciones sobre su manejo y prevención en condiciones de campo.

UNA LESIÓN OCULAR CON DIAGNÓSTICO INESPERADO
Antecedentes y motivo de consulta ![]()
Se remitió al Servicio Clínico de Rumiantes (SCRUM) de la Universidad de Zaragoza una oveja de raza Rasa Aragonesa de 7 años, procedente de una explotación situada en la Ribera del Ebro.

Exploración clínica: una masa que no dejaba de avanzar
Tras el destete del cordero, el animal fue remitido al SCRUM de la Universidad de Zaragoza, donde se le realizó una exploración clínica exhaustiva.
En la exploración se observó una condición corporal de 2/5 y la presencia de flujo nasal seroso, sin alteraciones a la auscultación.
El hallazgo más relevante fue la masa localizada a nivel facial, concretamente en el párpado inferior derecho, que provocaba protrusión y deformación de los tejidos perioculares, con oclusión del canto medial y desviación lateral del globo ocular dentro de la órbita.
La superficie tumoral se encontraba costrosa y ulcerada, con presencia de una secreción serosanguinolenta (Figura 1).

Pruebas complementarias: lo que los datos mostraron![]()
Se realizaron las siguientes pruebas complementarias:




Del diagnóstico diferencial al diagnóstico definitivo
Inicialmente, en el diagnóstico diferencial del cuadro presentado por el animal se consideraron diversas patologías, entre ellas:
Miasis por larvas de moscas (familias Calliphoridae y Sarcophagidae).
Lesiones infectadas tras picaduras de simúlidos.
Oestrosis causada por las larvas de Oestrus ovis.
Causas traumáticas.
Abscesos perioculares.
Procesos neoplásicos, como el adenocarcinoma nasal enzoótico (ANE), caracterizado por lesiones en los cornetes etmoidales y secreción nasal, así como otros tumores cutáneos u oculares, entre ellos, el melanoma, fibroma, fibrosarcoma y carcinoma de células escamosas.
Posteriormente, debido al compromiso que la lesión suponía para el bienestar del animal y a su empeoramiento progresivo, este fue remitido al Servicio de Diagnóstico Anatomopatológico Veterinario de la Universidad de Zaragoza para la realización de la necropsia y el estudio macroscópico de las lesiones.
En relación con la lesión periocular (Figura 4), la retirada de la piel evidenció una masa multinodular que infiltraba los tejidos blandos superficiales (piel y conjuntiva), sin invasión ósea ni ocular. Al seccionar parcialmente la masa se observaron amplias áreas de necrosis. |

Entre los hallazgos post mortem adicionales se observó:
Cisticercosis abdominal junto a una leve degeneración hepática y paraqueratosis ruminal.
Sinequias pleurales en la cavidad torácica, compatibles con una pleuritis fibrosa.
Bronconeumonía granulomatosa multifocal en los lóbulos diafragmáticos, compatible con una neumonía verminosa causada por nematodos protoestrongílidos.
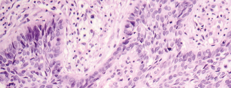
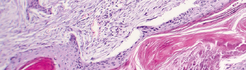
El estudio histopatológico de la masa periocular mostró numerosos signos de malignidad:
La masa estaba compuesta por cordones e islas de células escamosas neoplásicas sustentadas en un estroma fibrovascular abundante.
Los cordones presentaban áreas centrales de queratinización con formación de queratina laminar concéntrica en forma de perlas córneas
(Figura 5).
A mayores aumentos, la población neoplásica mostraba un marcado pleomorfismo celular y nuclear, con nucleolos prominentes y cariomegalia (Figura 6).
El estroma fibrovascular se encontraba infiltrado por abundantes leucocitos, linfocitos y macrófagos, con frecuentes hemorragias (Figura 6).


A nivel microscópico, en el pulmón se observó un infiltrado inflamatorio peribronquial constituido principalmente por linfocitos. El hígado presentaba cambios compatibles con una degeneración grasa o esteatosis hepática. |

DISCUSIÓN
Confirmación diagnóstica y relevancia clínica
La persistencia de la lesión y el conjunto de hallazgos clinicopatológicos permitieron descartar gran parte de las opciones del diagnóstico diferencial y orientar el caso hacia una neoplasia.
El estudio histopatológico confirmó el diagnóstico de carcinoma de células escamosas, una neoplasia maligna, localmente infiltrativa y de rápido crecimiento.
Este tipo de tumor, poco frecuente en la especie ovina, aparece de manera esporádica y ha sido descrito en diversos países con alta insolación como Uruguay, Brasil, Australia, Irán, Italia o España (Costa et al., 2019; Ladds et al., 1977; Méndez et al., 1997; Ramos et al., 2007).
Las referencias consultadas subrayan que las herramientas diagnósticas de mayor valor son la citología y, en especial, la histopatología. |

Factores predisponentes y mecanismos implicados
El principal factor predisponente es la exposición a la radiación solar (García et al., 2018), aunque también podrían intervenir otros factores, como la infección por papilomavirus (Vitiello et al., 2017), los traumatismos (García et al., 2018) o una posible predisposición genética (Vasconcelos et al., 2023).
La susceptibilidad es mayor en animales adultos y, dado el componente de heredabilidad sugerido, la selección genética de los individuos podría constituir una herramienta preventiva (Vasconcelos et al., 2023).
La influencia de la radiación UV en la aparición del tumor hace recomendable limitar la exposición solar mediante medidas de manejo adecuadas. |
En hembras gestantes, como en el caso aquí descrito, resulta fundamental extremar los cuidados, ya que factores como deficiencias nutricionales, incremento del estrés o inmunosupresión podrían favorecer el desarrollo de este tipo de carcinomas (Becerra y Ruano, 2015).
De hecho, el caso presentado mostraba alteraciones hematológicas subyacentes, como una anemia macrocítica e hipocrómica.

Limitaciones terapéuticas y enfoque preventivo
En la actualidad, no existen protocolos terapéuticos establecidos para la especie ovina.
En otras especies domésticas, como los animales de compañía, la cirugía se considera el tratamiento de elección. Sin embargo, en animales de producción, la resección quirúrgica completa de masas perioculares no suele ser viable.
A esta limitación se suma la elevada presencia de moscas y otros insectos en esta región de España durante buena parte del año, lo que dificulta el manejo postoperatorio y compromete la correcta cicatrización de las heridas.
Todo ello refuerza la necesidad de incidir en las medidas preventivas y en la reducción de los factores predisponentes.

CONCLUSIÓN
El diagnóstico de un carcinoma de células escamosas periocular en oveja se basa en la anamnesis y la exploración clínica, complementadas con pruebas como la citología por impronta, la hematología y la termografía.
El diagnóstico definitivo depende del estudio anatomopatológico del tejido proliferativo, que debe mostrar criterios de malignidad característicos, como pleomorfismo, patrón infiltrativo y/o presencia de perlas córneas, entre otros.
El carcinoma de células escamosas debe incluirse entre los diagnósticos diferenciales de las masas oculares y perioculares en ovino, junto a otros tumores descritos en rumiantes.
Entre los posibles factores etiológicos se incluyen la radiación ultravioleta (UV), los factores genéticos e incluso los víricos en algunos casos, por lo que su manejo debe ser fundamentalmente preventivo.

BIBLIOGRAFÍA
Universidad de Murcia. (2012). Neoplasia – Citología. Innova OCW. https://www.um.es/innova/OCW/PropedeuticaClinica2012/material_clase/Citologia/neoplasia.html
Becerra Pérez, D. (2016). Carcinoma de células escamosas (Reporte de caso). Disponible en: https://repository.udca.edu.co/handle/11158/504
Costa, R. A., Schild, C., Caffarena, D., Giannitti, F., Banchero, G., Del Pino, M. L., & Riet‑Correa, F. (2019). High frequency of cutaneous squamous cell carcinoma in Friesian Milchschaf sheep in Uruguay. Pesquisa Veterinária Brasileira, 39(4), 251–254. https://doi.org/10.1590/1678-5150-PVB-6170
De la Cruz-Cruz, L., Pérez, E., Larrondo Cornejo, C., García, J., & Roldán-Santiago, P. (2022). Use of infrared thermography in the detection of health problems in ruminants. Uso de la termografía infrarroja en la detección oportuna de problemas de salud en rumiantes.
Ferrer, L., Lacasta, D., Ramos, J., Jalón, J., Ruiz De Arcaute, M., & Conde, T. (2011). Squamous cell carcinoma of the vagina and cervix in sheep — Case report. Acta Veterinaria Hungarica, 59(1), 123–127
García, J. A., Quinteros, C., Romero, A., & Dutra, F. (2018). Occurrence of squamous cell carcinoma in Milchschaf sheep in Uruguay. Ciência Rural, 48(1), e20170406. https://doi.org/10.1590/0103-8478cr20170406
Ladds, P. W., & Entwistle, K. W. (1977). Observations on squamous cell carcinomas of sheep in Queensland, Australia. British journal of cancer, 35(1), 110–114. https://doi.org/10.1038/bjc.1977.10
Méndez, A., Abella, A., & López, A. (1997). Clinicopathological study of an outbreak of squamous cell carcinoma in sheep in south-west Spain. Veterinary Record, 140(26), 688-690. https://doi.org/10.1136/vr.140.26.688
Ramos, A. T., Norte, D. M., Elias, F., & Fernandes, C. G. (2007). Squamous cell carcinoma in cattle, sheep and horse: Study of 50 cases in south of Rio Grande do Sul. Brazilian Journal of Veterinary Research and Animal Science, 44(supl.), 5–13. https://doi.org/10.11606/issn.1678-4456.bjvras.2007.26583
Vasconcelos, J., Pires, M. d. A., Alves, A., Vieira-Pinto, M., Saraiva, C., & Cardoso, L. (2023). Neoplasms in domestic ruminants and swine: A systematic literature review. Veterinary Sciences, 10(2), 163. https://doi.org/10.3390/vetsci10020163
Vitiello, V., Burrai, G. P., Agus, M., Anfossi, A. G., Alberti, A., Antuofermo, E., Rocca, S., Cubeddu, T., & Pirino, S. (2017). Ovis aries papillomavirus 3 in ovine cutaneous squamous cell carcinoma. Veterinary Pathology, 54(5), 775–782. https://doi.org/10.1177/0300985817705171


Por Olena Semenko
Ver más
Por Braulio De La Calle Campos
Ver más
Por Laura Pérez Sala
Ver más2026 Copyright Grupo de Comunicación AgriNews SL. All rights reserved. Se prohíbe la reproducción del contenido de esta página en cualquier formato o comunicación, electrónica o impresa, sin autorización expresa.Solicitar autorización. | Agencia de Marketing Ganadero
×


Ver otras revistas